How Prosthetics Restore Oral Function and Confidence
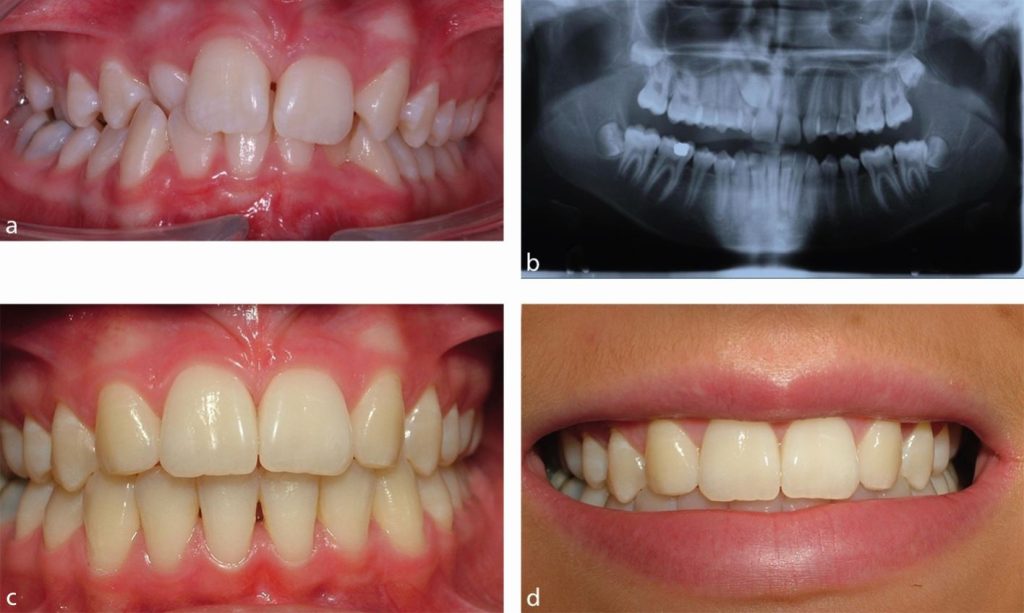
If you have ever seen someone smile more freely after receiving a dental prosthetic, you may have noticed how their posture shifts, their speech becomes clearer and their overall confidence rises in a way that feels almost immediate. This transformation often surprises patients because they expect functional improvement but rarely anticipate the emotional uplift that…
Read more
